
La mejor carilla dental en Ciudad Ho Chi Minh – Una sonrisa más blanca y alineada al instante

¿QUÉ SON LAS CARILLAS DENTALES?
Las carillas dentales son un tratamiento cosmético moderno en el que una fina capa de porcelana (0,2 mm a 0,5 mm) se adhiere a la parte frontal de los dientes sin una reducción extensa de la estructura dental. Estas carillas mejoran la apariencia de dientes manchados, con espacios, cortos o fracturados, resultando en una sonrisa más uniforme y brillante.
Muchos pacientes eligen las carillas por sus resultados de aspecto natural y durabilidad, lo que las convierte en una opción popular en odontología estética. Con el cuidado adecuado, las carillas de alta calidad pueden durar más de una década, ofreciendo una solución a largo plazo para una sonrisa radiante y segura.


TRANSFORMACIÓN DE SONRISA CON CARILLAS DE PORCELANA PREMIUM
Utilizamos Emax & IPS Emax Press Multi Veneers de Ivoclar Vivadent (Alemania), una solución estética de primer nivel para lograr una sonrisa radiante y natural.
- Material Premium: Hechas de Cerámica vítrea de disilicato de litio (LS2) con un recubrimiento de Nano Fluorapatita para una translucidez y reflexión de luz realistas.
- Ultrafinas pero resistentes: Soportan 400 – 450 MPa, más duraderas que los dientes naturales.
- Tecnología de Precisión: Elaboradas con Tecnología CAD/CAM & Press para un ajuste perfecto y personalizado.
- Belleza Duradera: Mantienen su brillo e impecabilidad por más de 15 años.
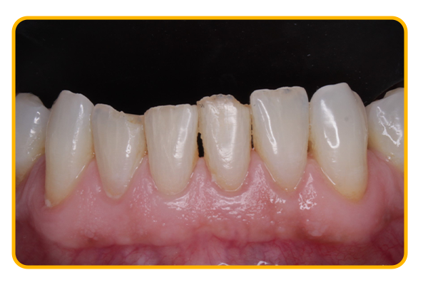
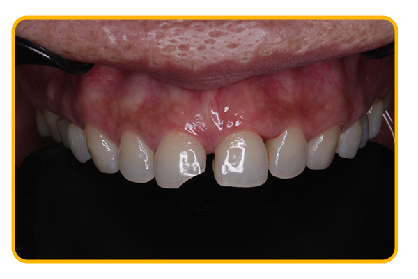
RESULTADO ANTES Y DESPUÉS
Los resultados de las carillas en Saigon Veneers Dental Clinic no solo perfeccionan el color y la forma de los dientes con precisión, sino que también ayudan a los pacientes a recuperar la confianza en los momentos cotidianos.
La sonrisa final revela un conjunto de dientes naturalmente blancos y bien alineados que realzan tus rasgos únicos — frescos, juveniles y radiantes, sin la apariencia artificial o de “copia y pega” que a menudo se observa en trabajos dentales de porcelana.
LA BELLEZA DE LAS SONRISAS TRANSFORMADAS CON
CARILLAS DE PORCELANA
¿Quieres mejorar tu sonrisa?
- Corregir imperfecciones: Dientes manchados, decoloración, dientes astillados o rotos
- Crear un diseño de sonrisa personalizado
- Elegir porcelana de aspecto natural
- Obtener coronas de porcelana sin reducir tus dientes naturales
¡CONSULTA CON UN EXPERTO!
¿EN QUÉ CASOS SE RECOMIENDAN
LAS CARILLAS DE PORCELANA?
Las carillas dentales te permiten transformar por completo el color, la forma y la alineación de tus dientes para conseguir la sonrisa de tus sueños.
En Saigon Center Dental Clinic, nuestros especialistas personalizan la forma y el tono de tus carillas para que coincidan con tus rasgos faciales, tu estilo personal y tus preferencias estéticas.
Estos son los casos en los que las carillas pueden mejorar significativamente la estética dental:

Espacios entre dientes

Triángulo negro entre dientes

Dientes astillados o rotos

Dientes amarillos

Dientes desgastados o cortos

Dientes levemente apiñados

Dientes manchados

Tamaño desigual de los dientes

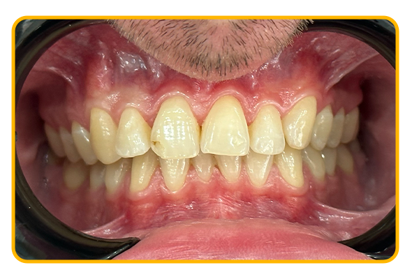
Tratamiento con carillas para mejora estética y corrección de mordida cruzada | Sr. An Thai (Vietnam)
CARILLAS DE PORCELANA: EL ARTE DE RECREAR SONRISAS
En Saigon Center Dental Clinic, el tratamiento con carillas no es solo un procedimiento dental — es una forma de arte, elaborada a través de la perfecta armonía entre la experiencia clínica, la sensibilidad estética y más de 15 años de experiencia práctica de doctores formados en EE.UU. y Brasil.
En cada caso, personalizamos el diseño de la forma, el color y las proporciones de los dientes para que se adapten mejor a tus rasgos faciales, la línea de tu sonrisa y tu estilo único — asegurando que tu sonrisa luzca natural, equilibrada y verdaderamente tuya.
Nuestra solución con carillas no solo corrige imperfecciones comunes como: dientes separados, bordes astillados o desiguales, esmalte amarillo o manchado… sino que también trata condiciones más complejas con precisión y cuidado, incluyendo:
– Dientes manchados por tetraciclina (decoloración por antibióticos)
– Mordida cruzada leve o desalineación – sin necesidad de ortodoncia
En Saigon Center Dental Clinic, no creamos sonrisas “únicas para todos”.
👉 Te ayudamos a redescubrir la versión más hermosa de tu propia sonrisa.
PROCEDIMIENTO DE CARILLAS DENTALES
CON 2 CITAS – 48 HORAS
Examen, consulta y evaluación de la salud bucal
El dentista administra anestesia local para la preparación dental
Toma de impresiones dentales para que el laboratorio fabrique las carillas
Comprobación de la mordida y luego cementado de las carillas en los dientes
Citas de seguimiento para revisiones de rutina programadas por el dentista
Con la ventaja de un laboratorio interno, la aplicación de carillas de porcelana en Saigon Center Dental Clinic se completa en solo 2 CITAS dentro de 48 HORAS.

PRIMER DÍA
Consulta, preparación dental y toma de impresiones para el diseño de las carillas.

SEGUNDO DÍA
Colocación de las carillas, cementado final y ajustes
* El tiempo de aplicación de carillas depende de tu condición bucal y del número de dientes

Conserva tus dientes naturales – No se requiere perforación
En Saigon Veneers Dental, ofrecemos tratamientos de carillas de porcelana no invasivos que requieren poca o ninguna reducción dental, lo que te permite mejorar tu sonrisa mientras conservas por completo la estructura natural de tus dientes.
A diferencia de los métodos tradicionales que implican un fuerte desgaste, nuestras carillas ultrafinas (tan delgadas como 0,2–0,5 mm) se adhieren cuidadosamente a la superficie frontal de tus dientes sin dañar el esmalte sano.
✅ Sin dolor – Sin sensibilidad – Sin daños a largo plazo
✅ Mantén dientes fuertes y sanos mientras consigues una sonrisa más brillante y armoniosa
OBTENER UNA COTIZACIÓN HOTLINE¿CUÁNTO CUESTAN LAS CARILLAS DENTALES EN VIETNAM?
CON 2 CITAS – 48 HORAS
El costo de las carillas dentales depende del tipo de porcelana, el número de dientes, los honorarios del dentista y cualquier tratamiento adicional necesario.

CARILLAS CERÁMICAS | COSTO DENTAL (USD) | PRECIO CON DESCUENTO (USD) |
Carilla Emax | 400 | 320 |
Carilla Emax Press | 600 | 480 |
SAIGON VENEERS DENTAL ofrece un combo de bonificación valorado hasta 400 para clientes que decidan realizarse 20 o más dientes de porcelana | ![]()
|
¿POR QUÉ ELEGIRNOS – SAIGON VENEERS DENTAL CLINIC?
Los clientes pueden tener total tranquilidad respecto a la calidad de los servicios de colocación de carillas dentales en Saigon Veneers Dental Clinic

EQUIPO DE DOCTORES
ALTAMENTE CALIFICADOS

INSTALACIONES
Y EQUIPOS MODERNOS

SERVICIOS
DE ESTÁNDAR INTERNACIONAL

INFORMACIÓN
TRANSPARENTE
SAIGON VENEERS DENTAL CLINIC
LA MEJOR ELECCIÓN PARA CARILLAS DENTALES
Nos enorgullece ser la mejor opción para carillas dentales en Vietnam, con más de 10,000+ tratamientos exitosos para pacientes internacionales. Garantizamos resultados perfectos en cuanto a función masticatoria, estética y durabilidad a largo plazo.
¿QUÉ DICEN NUESTROS CLIENTES?


Preguntas Frecuentes sobre Carillas Dentales
El proceso de aplicación de carillas es generalmente indoloro gracias a la anestesia local. Puedes experimentar una ligera sensibilidad o molestia durante la preparación dental, pero es temporal y debería desaparecer rápidamente después del procedimiento.
La preparación para las carillas implica eliminar solo una mínima cantidad de esmalte dental, normalmente entre 0,3 – 0,5 mm. Esto es suficiente para crear una superficie donde las carillas se adhieran sin dañar significativamente la estructura dental natural.
Sí, las carillas de porcelana son muy duraderas y pueden durar entre 10 y 15 años con el cuidado adecuado. Son resistentes a las manchas y al desgaste, manteniendo la apariencia natural de tu sonrisa.
Las carillas hechas de porcelana pura son las preferidas por su capacidad de replicar el color y la translucidez natural. Entre las carillas de porcelana, las carillas E-Max son actualmente la opción principal debido a su alta durabilidad, resistencia al color y rentabilidad.